Accueil > La cheville > Instabilité de cheville > Faire le diagnostic
Instabilité de cheville
Quels sont les examens nécessaires
LE BILAN COMPLET d'une instabilité de cheville comprend :
DES RADIOGRAPHIES:
Elles se pratiquent debout : FACE + PROFIL + FACE EN ROTATION INTERNE DE 20°.
DES CLICHES CERCLES de l'arrière-pied:
Ils sont indispensables pour rechercher une déviation anormale de l'arrière-pied vers l'intérieur (EN VARUS).
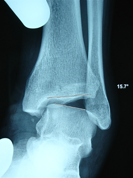
DES CLICHES DYNAMIQUES:
il s'agit de reproduire le mouvement anormal de baillement de l'articulation en le comparant au côté opposé.
Ils peuvent se faire manuellement ou de manière optimale avec le dispositif TELOS.
Ce dispositif comprend un étau et un poussoir qui permet de produire une poussée toujours identique.
cliché en varus avec TELOS 14° |
|
cliché de profil debout |
cliché en tiroir avec TELOS 11mm |
Ces clichés sont parfois douloureux dans les amplitudes maximales. C'est pourquoi ils sont réalisés à distance de l'épisode d'entorse le plus récent.
Les résultats:
Une ouverture articulaire (ou diasthasis) formant un angle supérieur à 10° avec une différence de plus de 2° avec le côté opposé est considéré comme pathologique.
UN ARTHRO-SCANNER DE CHEVILLE :
Il fait un bilan précis du cartilage articulaire.
Il permet d'étudier précisement les faisceaux antérieur et moyen du ligament latéral, qui sont moulés par le produit opaque injecté dans l'articulation.
Une communication anormale entre l'articulation et la gaine des tendons péroniers, confirme la rupture certaine du ligament moyen du LLE.
UNE IRM DE CHEVILLE:
Elle est parfois nécessaire pour rechercher une fissuration des tendons péroniers ou une inflammation osseuse.
Elle est moins performante que l'Arthro-scanner pour l'étude du cartilage.
Dernière mise à jour le 16/08/2011
En pratique
Avant la chirurgie
- L'imagerie
- Les infiltrations
- Les semelles
- Les attelles et bottes amovibles
- La rééducation


