Accueil > L'avant-pied > Maladie de Freiberg > Comment la traiter
Maladie de Freiberg
L'ostéotomie de GAUTHIER
L'OSTEOTOMIE DORSALE DE SOUSTRACTION :
Elle consiste à enlever la zone dorsale nécrotique de la tête en conservant une charnière plantaire.
La zone enlevée a une forme triangulaire à base dorsale.
On effectue ensuite une fermeture de cet espace par une rotation de la tête autour d'un axe horizontal.
Cette rotation remonte dans l'axe le cartilage plantaire intact.
Un raccourcissement de 2-3mm de la longueur du métatarsien est réalisé.
La fixation de fait par un fil trans-osseux en cadre ou deux agrafes métalliques fines placées à la face dorsale.
L'articulation est donc conservée en effectuant une décompression qui diminue la douleur.
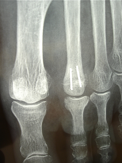
Exemple sur une ostéonécrose de la 2e tête métatarsienne G:
la tête est aplatie et carrée mais sans arthrose sur le versant phalangien.
Aspect de profil:
Cette opération ne peut être réalisée que si la déformation de la tête épargne la moitié plantaire et si l'excès de longueur n'excède pas 5mm par rapport aux rayons adjacents.
Dans le cas contraire, un remplacement articulaire est la meilleure option.
L'auteur de ce site ne présente aucun conflit d'intérêt concernant les données contenues dans cet article.
Dernière mise à jour le 26/12/2014
En pratique
Avant la chirurgie
- L'imagerie
- Les infiltrations
- Les semelles
- Les attelles et bottes amovibles
- La rééducation


