Accueil > L'avant-pied > Déviation du premier orteil ou HALLUX VALGUS > Traiter
Déviation du premier orteil ou HALLUX VALGUS
L'ostéotomie en Chevron
Il s’agit d’une section du premier métatarsien située en arrière du cartilage de la tête, formant un V dans le sens dorso-plantaire.
La tendance actuelle en France est de pratiquer un trait plus long pour la partie plantaire.
La tête est poussée en translation vers le 2e métatarsien puis fixée par une ou deux vis obliques.
L’excédent osseux est recoupé.
Schéma d'ostéotomie en chevron sur un pied gauche:
Exemple d'ostéotomie en chevron de profil (pied gauche):
Ses avantages :
L’incision cutanée est courte (25-35 mm).
Elle peut être considérée comme mini-invasive.
Ce type de section osseuse permet de translater la tête jusqu’à 6 mm, de l’abaisser vers la plante, mais également de pratiquer une rotation horizontale de la tête pour corriger l’obliquité du cartilage articulaire.
Son inconvénient:
Cette section est adaptée aux déformations modérées et moyennes.
En cas d’avant-pied large, la largeur de l’avant-pied sera moins bien réduite qu’avec la technique du scarf.
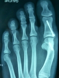
Exemple de correction par une ostéotomie en chevron du pied gauche:
AVANT:
L'INTERVENTION:
translation osseuse de 5mm |
APRÈS:
C'est l'intervention la plus pratiquée à l'heure actuelle par l'auteur de ce site.
Voir un autre exemple avec une galerie de photos opératoires
L'auteur de ce site ne présente aucun conflit d'intérêt concernant les données contenues dans cet article.
Dernière mise à jour le 04/01/2015
En pratique
Avant la chirurgie
- L'imagerie
- Les infiltrations
- Les semelles
- Les attelles et bottes amovibles
- La rééducation


