Accueil > L'arrière-pied > L'atteinte du pied de l'enfant > Les traumatismes
L'atteinte du pied de l'enfant
Le pied
QUE RESSENT VOTRE ENFANT ?
Les signes sont ceux de tout traumatisme.
Une douleur survient à la suite d'un traumatisme récent.
L'examen montre:
une douleur à la pression de la zone concernée avec grimace ou pleurs de l'enfant.
L'inspection retrouve un gonflement avec parfois un hématome.
QUE MONTRE LA RADIOGRAPHIE ?
La radio peut être strictement normale.
Une fracture d'une métaphyse est présente :
Il s'agit d'une plicature d'une ou plusieurs parois osseuses (ou corticale) de la zone proche du cartilage de croissance. On l'appelle fracture en "motte de beurre".
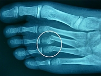
Exemple de fracture de la métaphyse du 3e métatarsien (pied gauche):
la consolidation visible à 2 mois de recul |
le cal osseux efface en qqs mois la translation |
Dans les cas sévères, une désaxation osseuse peut être présente.
Le remodelage progressif du cal efface les imperfections d'axe qui deviennent invisibles sur les radiographies après 6 mois d'évolution.
Un traumatisme d'un cartilage de croissance est présent :
Il est appelé décollement épiphysaire.
Exemple d'atteinte du cartilage de croissance du 1e orteil (pied gauche):
COMMENT ON LE TRAITE ?
Tout traumatisme avec douleur du pied à l'appui doit être immobilisé.
En cas de douleur avec ou sans fracture de l'arrière ou du milieu du pied:
une botte courte en résine est mise en place.
Cette immobilisation ne présente aucun inconvénient chez l'enfant.
L'appui est repris progressivement.
En cas de fractures multiples des orteils ou des métatarsiens, une chaussure médicale qui diminue l'appui sur l'avant du pied (type SOBER) est utilisée.
L'auteur n'a aucun conflit d'intérêt concernant les données contenues dans cet article.
Dernière mise à jour le 30/11/2011
En pratique
Avant la chirurgie
- L'imagerie
- Les infiltrations
- Les semelles
- Les attelles et bottes amovibles
- La rééducation


